白衣天使是人们对医生护士的美誉,你可曾知道,在滨州人民医院,有的天使却身穿沉重的铅衣——他们就是介入手术室的医生护士。因为工作的特殊性,他们需要在血管造影机放射出X光射线的手术室里工作,长期与X光辐射为伴。一谈到辐射,人们都会为之色变。而他们却每天身穿几十斤重的铅衣,在手术台前一站便是几个小时、有时甚至十几个小时,一天所“吃”的射线相当于拍了上万次胸片。除了累得汗流浃背、腰酸腿疼,还要承受免疫力下降、癌变几率增大等伤害,他们在用自己的命换患者的命,他们是蜡烛,燃烧自己,照亮别人。(图文:李健生 耿玉学)

2018年1月16日下午14点5分,滨州市人民医院介入手术室。一位医生正独自为一名患者做心脏冠脉造影手术。因为手术室有强辐射,所以,每台手术都把医生护士减到最少,其他人在铅质玻璃外随时待命,需要时立马进去。手术室中间、紧贴手术台摆放着一台四五米高的“庞然大物”——高辐射的大型X光造影机,这是介入手术必用的一种设备。在整个手术过程中,它就像医生的眼睛,能够将患者的病变部位看得一清二楚。

介入手术室更衣室,有一个专门的钢制衣架,上边挂着一些蓝色或似迷彩雨衣样的衣服,没有袖子,看上去像连衣裙。另有铅帽、铅围脖及铅眼镜。我掂了下,每一件都很重。我了解到,在医院,虽然有害辐射并不是介入手术室的“专利”,其他如放射室、CT室、核磁共振室等也都存在,但他们都是隔室操作,所以,在医院的各个科室中,介入科的辐射是最为严重的,因此医生的装备也最齐全,但是即便这样,被辐射也是不可避免。

今天下午我要拍摄的是为一名中年女性患者做心脏支架手术。为她做手术的是滨州市人民医院副院长崔家玉,心内一科主任贾荣波亲自为他做助手。手术前,医生护士们在紧张忙碌着,做术前准备工作。

不多会儿,刚刚做完另外一台手术的崔院长赶过来了,开始披挂上阵。听说我前来采访,崔院长说:“我们医院分别于1993年、1999年在全市率先开展心脏起搏器手术和冠脉介入手术,20多年了,这些都不是什么新技术,没什么值得炫耀的,现在各县区的二级医院都能做”。当我说明这次采访的目的主要是想真实地反映介入手术室的医护人员在艰苦、危险的工作环境中舍生取义、甘于奉献的大医精神时,崔院长微微一笑:“别听外界瞎说,没那么玄乎,现在的防护措施都很严格,至今为止我们心内科共完成心脏介入手术3600例,有一半的我都亲自上台参与手术,可作为我本身来说,‘吃线''少说也有两千多个小时,无非是掉了几根头发而已。”

他说的是那么的轻松,可在去之前,对于X射线的危害,我已经查阅了许多资料,做了大量的功课,事实绝不是他说的那样。

见我执意要采访,他又和我约法三章:“一、我们医院每个科室、每一名医护人员都在各自的岗位上默默奉献着,都有许多可歌可泣的感人故事,介入手术室只是其中的一个普通科室而已;二、我本人是市人民医院介入手术室团队的一员,这个团队的主要成员有许道营,贾荣波,秦亮,吴向军,刘永选,付超,李文景等等,还有所有的护士们,一定要多写我们的团队,少写、甚至不写我个人;三、一定要实事求是,不要吹牛!”

铅衣、铅围脖穿戴完毕,再戴上重重的铅帽和铅镜。

最后再穿上一层严严实实的无菌手术衣。

戴上手术手套,繁琐的术前消毒隔离工作全部到位。

此时术前各项准备工作基本完毕,护士长耿玉学在为受术患者讲着术中注意事项以及其他宽慰的话。

开始轮到我披挂上阵观战了。经过一系列严格的消毒,在护士的帮助下我穿上了几十斤重的铅衣。刚上身,我就觉得抬脚非常吃力,走路明显晃荡;再戴上铅帽子、铅围脖后,突然感到整个人有些昏沉,身体都撑不直。仅仅几分钟之后,就有些气喘吁吁了。有句话形容疲惫是这样说的——双腿像灌了铅一样,而我现在几乎是全身都灌了铅。据说,一些刚刚进入科室的年轻医生、护士,因为适应不了沉重的铅衣,一台手术下来就几乎虚脱。

开始穿刺。心脏介入手术的最大优势是利用穿刺和导管进行诊疗。对于病患来说,这意味着穿一个很小的口,去治大病或者疑难杂症,而且只要局麻。我发现,整个手术过程,医生和患者一直在不停的进行语言交流,患者思维清晰,丝毫没有痛苦的表情。

心脏支架手术一般需要一到两个医生,用很细的导管和导丝在病人身体内穿行。导管走到身体的什么地方,走的方向对不对,全靠屏幕上的透视影像判断。有时,导管会放出一阵“烟雾”,那是造影剂。通过“烟雾”可以看清病灶的形态。然后,医生们盯着图像,开始手上的“针线活”。




手术在紧张的进行中......



谈起手术医生的辛苦,护士长耿玉学对我说:有天下午有几台常规手术,明明已经到下班时间,可最后1台还没做完,而这时值班医生打电话告诉我们急性心梗的病人来了。此刻的崔家玉副院长刚刚做完了一台耗时3个多小时的复杂手术,已是非常劳累,可他还是坚持着脱下汗水湿透的衣服,换上了新的手术衣,随后马不停蹄地又上了手术台。那台手术的患者是位年仅20多岁的小伙子,体重200多斤,崔家玉副院长和贾荣波主任分秒必争地放入支架后,又亲自耐心地讲解了手术结果,特别强调以后的注意事项。患者在听了崔院长的教导和嘱托之后,眼里含着泪花,感激之情溢于言表。而在刚刚做完这台之后,接着又来了一位30多岁的心梗病人,崔院长和贾荣波主任、秦亮副主任没来得及喘口气、喝口水,擦擦头上身上的汗水,换上衣服又上台,和手术室的医护人员投入了紧张的抢救手术中。

据私下了解,崔家玉副院长最长的一台介入手术时间为4个多小时,最长的一天连续做了9台手术,手术时间一共13个多小时。

X光线能够穿过人体,所以就要靠连接起来的导丝注入“造影剂”,这种“造影剂”是X光线所穿不过去的,从而根据造影分辨出血管变窄的地方,找到“罪犯血管”,进行进一步的“架血管支架”治疗。

输入“造影剂”。

在“造影剂”的帮助下准确找到血管狭窄部位。

精确放入血管支架。

这台手术进行的非常顺利,从患者进入手术室,到手术全部完成一共一个小时二十分钟。

手术结束后,崔院长走出手术室,脱下铅衣,来不及休息一会儿,就忙着向患者家属介绍手术经过以及术后注意事项。我看到,他里面的手术服已经湿透了大半。听身边的护士讲,这还算好的,今天的手术时间不长,有时候几个小时的手术下来,手术衣都能拧出水来。

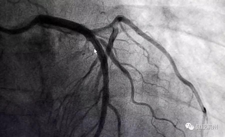
最后,让我们一起欣赏一下“妙手回春”的美丽“春色”。术前,光标指引处,左冠状动脉狭窄,严重影响了血流通畅。

术中,心脏支架放入。

术后,病灶消失的无影无踪,血管像航拍大地的河流,恢复了奔流不息的景象。
铅衣重,重不过患者的生命,
辐射大,大不过医生的责任!
有一种爱叫坚持,无论前途坎坷艰辛,始终勇往直前......
有一种爱叫无畏,无视自身痛苦伤害,始终大义凛然......
让我们向这群“铅衣天使”致以最崇高的敬意!